为什么感染新型冠状病毒后,肺部CT是全白呢?
发布时间:2020-03-04作者:洛阳慈铭健康管理有限公司点击:4561 次
新冠肺炎袭来,“白肺”这个词,不知道有多少人听说过?对于医生来讲,它并不陌生。但是对于大多数普通人来说,它曾经如此遥远,现在随着新冠肺炎疫情的蔓延,它离我们又是如此的近。那么“白肺”到底是什么?
“白肺”真的是白的吗?
CT或者普通X光影像,只有两种颜色,不是黑就是白。它们代表的不是器官的真实颜色,而是器官组织对X射线的阻挡能力。

如上图所示,传统的X光机,是把感光胶片放在贴近人体处,X射线穿透人体以后,胶片上某些地方射线被阻挡,曝光少,洗出来以后呈白色,某些地方接受射线比较多,曝光较强,洗出来以后呈现黑色。
现代的机器,已经把感光胶片换成了传感器。这如同传统胶卷相机和数码相机的区别。图像转化为数字信号的好处是,我们可以在电脑上进行处理,从而得到更清晰的影像。

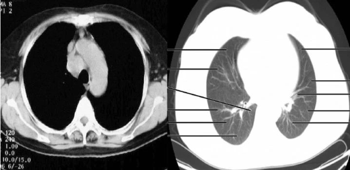
以上两张图,都是显示的胸部,左图可以看到纵隔(心脏等)内的一些细节,右图可以清晰地看到肺部的气管,支气管,纵隔内则是白茫茫一片。这就是调整对比度的结果。
观察不同的组织和器官,我们需要不同的射线剂量和参数调整。

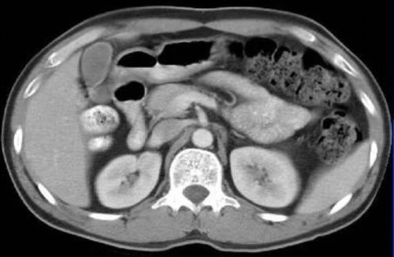
上图是一张腹部CT的图像,如果我们也像上右图那样调整对比度,也将看到一片白。显然,我们知道内脏的颜色应该是什么样的。所以“白肺”,也不是真的变白了。
为什么会出现白肺?
下图是同一位患者三次CT检查的图像,每次检查相隔2天,我们来看看肺部的变化。



大家可以很清楚地看到,右侧(患者的左胸)肺部全变白了,左侧(患者右胸)变白的面积也是非常大。
正常的肺组织里含有大量的空气,对X线的阻挡能力很弱,所以在X线下呈现黑色。当肺部出现炎症反应,大量蛋白、组织液、白细胞等渗出,肺间质充血、水肿等,这时的肺组织对X线的吸收能力就明显增强了,有点像实质器官的表现,所以呈现出白色。
变成白色的肺组织,基本上失去了气体交换的能力,患者会感到明显的缺氧,呼吸困难。我们需要给患者吸氧,重症者上呼吸机,甚至动用ECMO进行治疗。上面我举例的这位患者,就是一位新型冠状病毒感染的患者,最终由于病情发展太快,而不幸死亡。
不仅是新冠肺炎患者的肺会变白,其实任何一种肺部感染,感染部位的肺组织都会“变白”。但是一般细菌感染炎症反应扩散到全肺的并不多见。
变白的肺组织还能恢复吗?
随着病情的好转,肺组织局部炎症反应会消退,水肿、渗出等被吸收,肺功能会得到一定的好转,但是破坏严重的肺组织也有可能不能完全修复,被完全破坏的部分修复过程中会出现纤维化。这如同皮肤上的伤口,小的长好以后基本不留痕迹,大的伤口会留下一道疤。纤维化就是肺组织中的“瘢痕”。

人肺的储备功能很大,轻症的患者虽然可能会在肺部遗留一些小“伤疤”,但是一般日常活动不会有明显感觉,是可以完全恢复的。重症的患者可能会遗留下不同程度的呼吸功能的下降,主要表现为活动以后喘息。不管病情轻重,康复以后积极进行锻炼,都有助于增强肺功能。
文章来源:搜狐健康
- 上一篇:返程过程中,如何做好自我保护?
- 下一篇:开私家车出门如何做好消毒工作?



豫公网安备 41030502000297号

